Resposta Mapa: Diagnóstico por Imagem – Normas Acadêmicas

Índice

M.A.P.A – Diagnóstico por imagem Módulo 54/2025

Nome: Normas Acadêmicas
R.A:
Disciplina: Diagnóstico por Imagem  

INSTRUÇÕES PARA REALIZAÇÃO DA ATIVIDADE

  1. Todos os campos acima (cabeçalho) deverão ser devidamente preenchidos.
  2. O(A) aluno(a) deverá utilizar este modelo padrão para realizar a atividade.
  3. Esta atividade deverá ser realizada individualmente. Caso identificada cópia indevida de colegas, as atividades de ambos serão zeradas. Também serão zeradas atividades que contiverem partes de cópias da Internet ou livros sem as devidas referências e citações de forma correta.
  4. Para realizar esta atividade, leia atentamente as orientações e atente-se ao comando da questão. Procure argumentar de forma clara e objetiva, de acordo com o conteúdo da disciplina. Certifique-se que tenha assistido aos vídeos de apoio disponíveis na sala do café.
  5. Neste arquivo resposta, coloque apenas as respostas identificadas de acordo com as questões.
  6. Após terminar o seu arquivo resposta, salve o documento em PDF e o nomeie identificando a disciplina correspondente, para evitar que envie o MAPA na disciplina errada. Envie o arquivo resposta na página da atividade MAPA, na região inferior no espaço destinado ao envio das atividades.

FORMATAÇÃO EXIGIDA

  1. O documento deverá ser salvo no formato PDF (.pdf).
  2. Tamanho da fonte: 12
  3. Cor: Automático/Preto.
  4. Tipo de letra: Arial.
  5. Alinhamento: Justificado.
  6. Espaçamento entre linhas de 1.5.
  7. Arquivo Único.

ATENÇÃO

VALOR DA ATIVIDADE: 3.5
Esta atividade deve ser realizada utilizando o formulário abaixo. Apague as informações que estão escritas em vermelho, pois são apenas demonstrações e instruções para te auxiliar, e, posteriormente, preencha todos os campos com suas palavras/imagens. Coloque as referências utilizadas nas normas da ABNT

ETAPA 1

Os exames de imagem constituem algumas das ferramentas mais utilizadas na prática clínica,
desempenhando papel essencial na investigação de diferentes condições anatômicas e patológicas. Podem
ser realizados com ou sem a utilização de meios de contraste, dependendo da estrutura ou da função que
se pretende avaliar. A decisão pelo uso ou não do contraste está relacionada ao objetivo diagnóstico, às
características do paciente e à necessidade de destacar determinadas estruturas, sempre priorizando a
qualidade da imagem e a segurança do procedimento.

Fonte: CHIQUITO, Nathalia Cristine Santos Messias. MDD Radiografias contrastadas (anatomia e objetivos).
Disponível em: https://sites.google.com/unicesumar.com.br/anatomiaraioxtcermtrax/radiografiascontrastatas-anatomia-e-objetivos

BAYER S.A. Ultravist (iopromida) – solução injetável: bula para o profissional de saúde.

S. l.

: Bayer, 2023. Disponível em: https://uploads.consultaremedios.com.br/drug_leaflet/pro/Bula-UltravistProfissional-Consulta-Remedios.pdf. Acesso em: 16 jun. 2025.
CRISTÁLIA Produtos Químicos e Farmacêuticos Ltda. Bariogel 100 % – suspensão oral: bula para o
profissional de saúde. São Paulo: Cristália, 2023. Disponível em:
https://www.cristalia.com.br/produto/53/bula-profissional (ou PDF). Acesso em: 16 jun. 2025.
GADOVIST® (gadobutrol)

soluçãoinjetável

. Injeção para ressonância magnética do corpo todo.

S. l.

: Bayer HealthCare Pharmaceuticals, 28 out. 2024. Disponível em: https://cr-net-publicprod.s3.amazonaws.com/product_leaflet/708698C12DEA4B256078D478C0741DF3.pdf. Acesso em: 20 ago.
2025.

Com base no texto acima, responda as questões a seguir:

1.1) EXPLIQUE a função dos meios de contraste e DISCORRA em quais situações clínicas seu uso é indicado.

A função dos meios de contraste é aumentar contraste entre estruturas, destacar vascularização e perfusão, melhorar sensibilidade e especificidade diagnóstica.

Ele pode ser usado na avaliação vascular, tumores, infecções/abscessos, trauma, estudos urológicos e gastrointestinais, RM funcional, ultrassom contrastado e suporte a intervenções.

1.2) COMENTE os principais tipos de contrastes utilizados na radiografia e suas vias de administração.

Tipos principais de meios de contraste utilizados em radiografia e fluoroscopia:

  • Sulfato de bário (bário oral/retal)
  • Contrastes iodados hidrossolúveis
  • Contrastes iodados oil-based (históricos)
  • Contrastes negativos (ar, CO2)

Vias de administração e indicações comuns:

  • Oral
  • Retal (enema)
  • Endovenosa
  • Intra-arterial
  • Intratecal (mielografia)
  • Intra-articular (artrografia)
  • Geniturinária (urografia retrograda, cistografia, histerosalpingografia)
  • Gastrointestinal especializado (enterocli­se, enterografia)

ETAPA 2

Leia a situação a seguir:
Paciente masculino, 22 anos, 60 kg, comparece ao serviço de diagnóstico por imagem para realização de
ressonância magnética de crânio com contraste.

Diante do exposto, responda:

2) DESCREVA o meio de contraste indicado para este exame, via de administração e a dose necessária para o paciente em questão.

  • Meio de contraste recomendado

– Agente: contraste paramagnético à base de gadolínio (agente de contraste para ressonância magnética, GBCA). 

– Escolha preferível: preparação macroacíclica (ex.: gadoterato, gadobutrol, gadobentato) por menor risco tecidual e maior estabilidade. 

  • Via de administração

– Via: endovenosa (IV). 

– Técnica: bolus intravenoso seguido de flush com solução salina 0,9% para transporte do contraste até a circulação central. Pode-se usar injetor automático (padrão em muitos serviços) ou injeção manual quando necessário. 

  • Dose para o paciente (22 anos, 60 kg)

– Dose padrão: 0,1 mmol/kg de GBCA para estudo de crânio em protocolos convencionais. 

– Cálculo: 1 mmol/kg x 60 kg = 6 mmol

– Volume a administrar depende da concentração do produto: 

– Para um GBCA com 1,0 mmol/mL (ex.: algumas formulações de gadobutrol):

6 mmol = 6 mL 

– Para um GBCA com 0,5 mmol/mL (ex.: gadoterato em algumas apresentações):

6 mmol = 12 mL

ETAPA 3

Leia o relato de caso a seguir:
Paciente masculino, 52 anos, procurou o serviço de diagnóstico por imagem após encaminhamento
urológico devido a dor lombar discreta e episódica bilateral, associada a episódios de hipertensão arterial
de difícil controle nos últimos meses. Nega hematúria macroscópica, febre ou perda ponderal. Foi solicitado
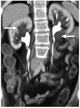
exames de imagem para diagnóstico, onde foi obtida a seguinte imagem:

Figura 1: O’CONNOR, Owen J.; MAHER, Michael M. CT urography. American Journal of Roentgenology, v.
195, n. 5, p. W320–W324, nov. 2010. DOI: 10.2214/AJR.10.4198. Disponível em:
https://ajronline.org/doi/10.2214/AJR.10.4198

3.1) CITE o exame de imagem realizado e o plano anatômico da Figura 1.

  • Exame: Tomografia computadorizada de abdome com contraste (TC abdominal com contraste).
  • Plano anatômico: Corte coronal.

3.2) MENCIONE o contraste utilizado e a via de administração.

  • Meio de contraste: Contraste iodado hidrossolúvel, preferencialmente não iônico e de baixo osmolar (ex.: ioexol, iopromida, ioversol).
  • Via de administração: Endovenosa (IV) por bolus, geralmente através de acesso em veia antecubital.

3.3) INDIQUE os possíveis achados/suspeita diagnóstica demonstrados nas setas da Figura 1.

As imagens sugerem presença de lesões renais ocupantes de espaço bilaterais — a hipótese mais provável é neoplasia (RCC multifocal ou metástases). Diferenciação exige TC abdominal com fases pós-contraste ou RM com gadolínio, além de correlação clínica, exames laboratoriais e possível biópsia percutânea conforme necessidade.

REFERÊNCIAS

CHIQUITO, Nathalia Cristine Santos Messias. Diagnóstico por Imagem. Florianópolis, SC: Arqué, 2023.

DIFICULDADE EM SEU TRABALHO ACADÊMICO? EU POSSO TE AJUDAR!

Abra o link pelo celular ou app no PC!